About White Fillings

White Fillings

  • They are nearly undetectable and blend naturally and beautifully.
  • They will not turn black or make your tooth look blue or gray.
  • They do not corrode or stress the teeth, as common in the older style   fillings made of silver and mercury.
  • Are mercury free
Picture of White Dental Filling

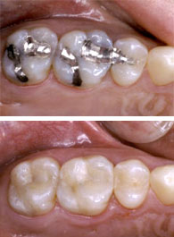
Removing and Replacing Old Metal Fillings

When a new cavity needs filling, the vast majority of patients now choose tooth-colored composite fillings. Many patients also opt for the removal of their amalgam fillings as well. These patients want to enhance their cosmetic appearance by ridding their mouths of unsightly silver fillings and replacing them with tooth-colored composite fillings. This simple procedure is an easy way to make a big difference in your smile.

Side Effects Associated with Silver Amalgam Fillings

Silver amalgam fillings contain about 50 percent mercury, a chemical that has been scientifically shown to be more toxic than lead, cadmium, or arsenic. The possibility of mercury leaking from amalgam fillings over time has prompted a movement toward mercury-free dentistry. The mercury in silver amalgam fillings is thought to leave the filling and enter the organs of the body in small amounts throughout life. Some medical practitioners believe this mercury is causing physical and psychological problems in patients. These include neurodegenerative diseases, birth defects, and mental disorders. The debate is ongoing but many patients are opting to remove their amalgam fillings in order to improve their appearance and ease their minds.

Cost of Composite White Fillings

The cost of white fillings can vary. If a silver filling is chipped or cracked, dental insurance may pay for part of the cost of replacement. Replacing amalgam fillings with tooth-colored composite fillings is a simple procedure that can make a big difference in your smile.

Alternatives

Large fillings especially on molars or back teeth are recommended for a crown to further protect the tooth from breaking off.

 

Have any questions? Call us now!

(323) 663-2050

White Fillings - Frequently Asked Questions

What are white fillings?

White fillings, also known as composite fillings, are tooth-colored materials used to restore teeth damaged by decay, cracks, or chips. They’re designed to blend in naturally with your teeth for a seamless look.

How do white fillings differ from silver (amalgam) fillings?

Unlike silver fillings, white fillings are made of a tooth-colored resin material and are bonded directly to the tooth. They are more aesthetically pleasing and require less removal of natural tooth structure.

Are white fillings safe?

Yes. Composite resins are considered safe and biocompatible. They are free of mercury, which is sometimes found in amalgam fillings.

How long do white fillings last?

With proper care, white fillings can last anywhere from 5 to 10 years or longer. Longevity depends on factors such as the size and location of the filling, your oral hygiene, and habits like grinding or clenching.

Do white fillings hurt?

The procedure for white fillings is typically painless. A local anesthetic is used to numb the area, so you won’t feel discomfort during the treatment.

Can white fillings be used on all teeth?

Yes, white fillings can be used on both front and back teeth. They are particularly popular for visible areas due to their natural appearance.

How should I care for my white fillings?

Maintain good oral hygiene by brushing twice a day, flossing daily, and visiting your dentist regularly. Avoid biting hard objects (like ice or pens) that could damage the filling.